Be Careful!! This Is What Your Teeth Will Become When You Eat…See More
When it comes to food, most of us worry about calories, sugar, or whether something is labeled “organic” or “gluten-free.” But there’s one part of our health we often overlook—our teeth. That innocent snack you’re munching on might be doing more damage than you think. From discoloration and decay to full-blown dental disease, your diet plays a major role in what your teeth will eventually become.

Sugar: The Silent Destroyer
Let’s start with the obvious villain—sugar. It’s no secret that sugar is bad for your teeth, but many people underestimate just how damaging it can be. When you consume sugary foods or drinks, bacteria in your mouth feed on the sugar and produce acid as a byproduct. That acid starts to erode your enamel, the hard outer layer of your teeth. Over time, this leads to cavities, sensitivity, and even tooth loss.

What’s worse is that sugar hides in unexpected places. It’s not just in candy or soda—many “healthy” foods like flavored yogurt, granola bars, and even fruit juices are packed with added sugars. And if you’re sipping sugary drinks throughout the day? That means your teeth are constantly being bathed in acid.
Acidic Foods: A Double Threat
Speaking of acid, acidic foods and beverages are another major culprit behind tooth damage. Citrus fruits like lemons, limes, and oranges, as well as tomatoes and vinegar-based dressings, can weaken your enamel over time. Soft drinks, energy drinks, and even sparkling water can also be highly acidic, even if they don’t contain sugar.

Once enamel is worn down, it doesn’t grow back. Weakened enamel means more sensitivity, increased risk of cavities, and a higher chance of developing stains. Teeth can start to appear dull, yellow, or even translucent around the edges.
Sticky & Starchy Foods: Sneaky Offenders
You might think chips or bread are harmless, but starchy foods can also cause problems. Starches break down into sugar as you chew them. Worse yet, foods like crackers, potato chips, or soft breads tend to get stuck in the grooves of your molars or between your teeth. If you don’t brush and floss thoroughly, that sticky residue becomes a feeding ground for harmful bacteria.

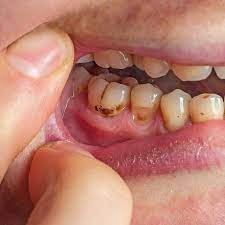
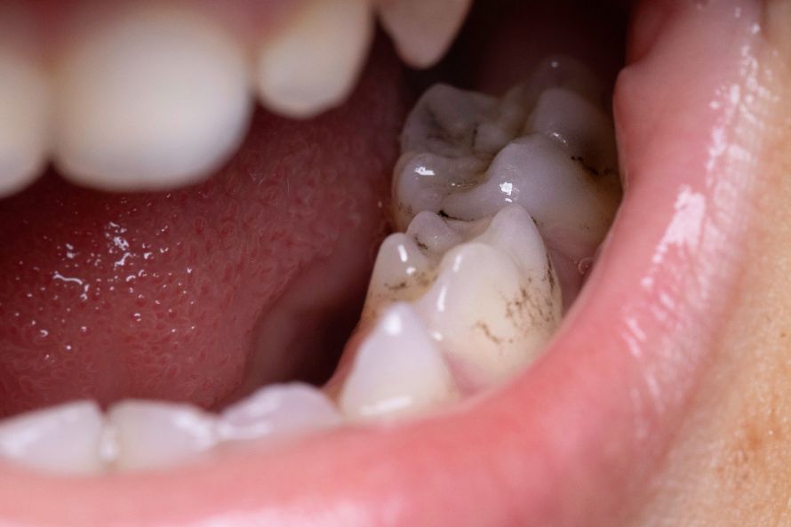
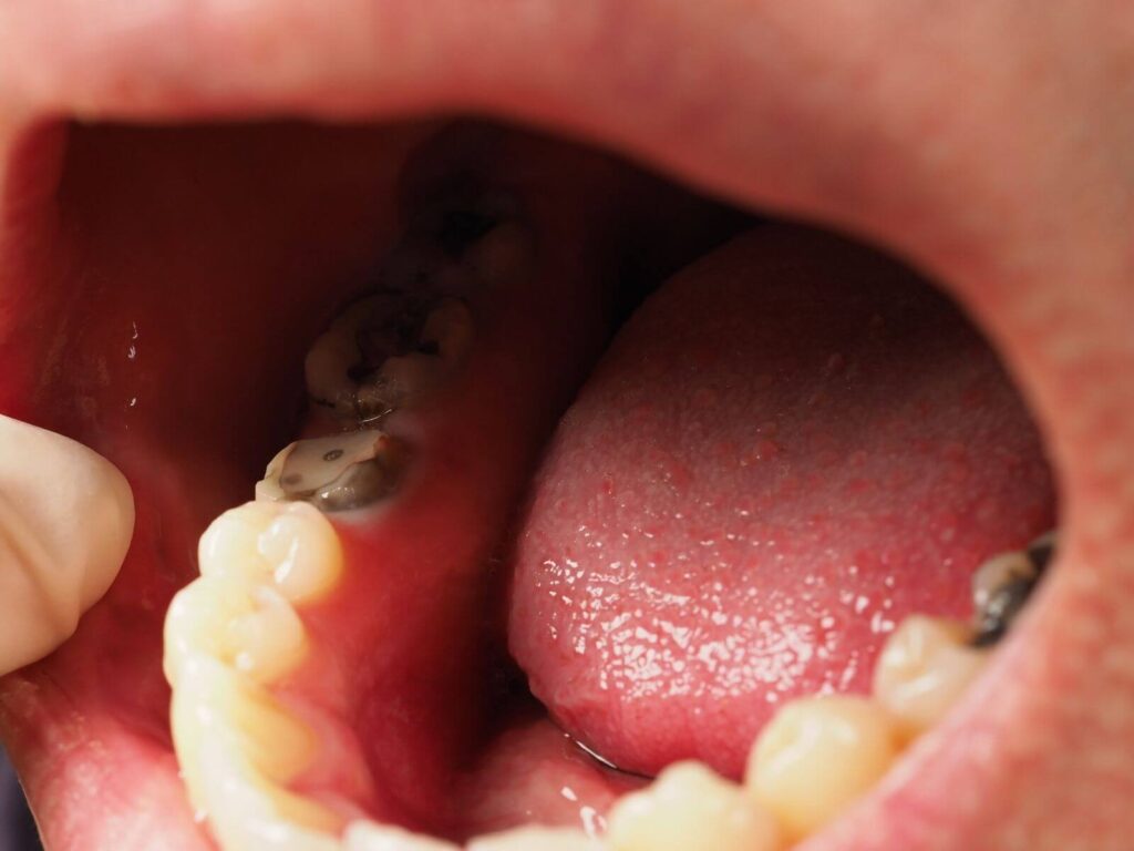
What Your Teeth Could Become…
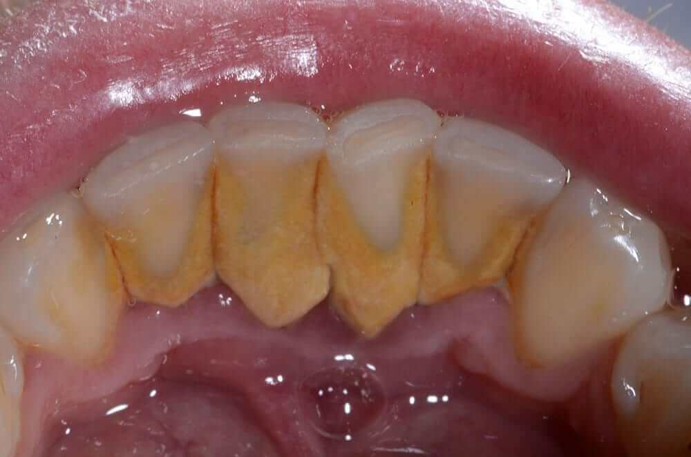
If poor eating habits continue unchecked, your teeth may start to look quite different. Enamel erosion can make teeth appear shorter or thinner. Stains can set in, turning white teeth a dull yellow or brown. Cavities may form, sometimes even leading to visible holes. Gum disease, triggered by plaque buildup, can cause your gums to recede, making teeth look longer and eventually loosening them.
In extreme cases, entire teeth can decay to the point where they break off or need to be extracted. And while dentures or implants are an option, nothing beats keeping your natural teeth strong and healthy.
Protect Your Smile: What You Can Do
Don’t worry—your teeth aren’t doomed. You can still enjoy a wide range of foods while protecting your smile. Here’s how:
- Limit sugary and acidic foods – and try to eat them during meals instead of alone. Saliva production increases during meals and helps neutralize acid.
- Rinse with water after eating acidic or sweet foods to wash away residue.
- Brush twice a day and floss daily to remove food particles and plaque.
- Wait 30 minutes to brush after eating something acidic to avoid brushing softened enamel.

- Visit your dentist regularly for cleanings and checkups.
Your diet has a direct impact on your dental health. Every bite counts—so next time you reach for that sugary snack or acidic drink, ask yourself: What will my teeth become if I keep eating this? You only get one set of adult teeth. Take care of them like they’re worth their weight in gold—because in the long run, they just might be.